lesV Hypohidrotic Ectodermal Dysplasia
A Possible Physiological Basis for the Nosferatu Vampire Type
 

Hypohidrotic Ectodermal Dysplasia is one of about 150 hereditary genetic birth defects which affect the ectoderm--hair, teeth, sweat glands, skin, nails and fingers, facial structure, vision and even hearing and the respiratory system. This disorder is found in approximately 1:17000 people. It is normally caused by an X recessive affected gene. Males are affected more frequently than females.

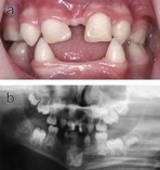
Hair may be sparse and brittle and slow growing. Facial features may be broadened and odd. Ears may be malformed. The eyes may have cataracts giving them a cloudy appearance. Fingernails may be thick and brittle. People affected by this condition also have less sweat glands and therefore cannot tolerate heat. One of the most attention-drawing features of this condition is how it affects the teeth. Teeth may be missing and/or pointed and fang-like with prominent canines.



Michael Berryman is a well-known horror actor who was born with this condition.

His teeth have been cosmetically altered but his Nosferatu-like appearance is striking.

It is easy to see where this condition might be mistaken for a revenant or nosferatu type vampire, both in the past and present.

Dr. Mark Benecke, a 31-year-old German forensic biologist lists this condition in his article in Bizarre magazine, The Restless Dead, Vampires and Decomposition*. Dr. Beneke believes in a "physiological basis for vampirism", and contends that vampires can be explained scientifically, "that light sensitivity, thirsting for blood and the phenomenon of gasping corpses are natural, not supernatural, conditions. This intense devotee of the living dead uses modern criminal forensic methods to investigate the vampire myth and believes it is based on the biology of the human body and the biology of death.

*Benecke : http://www.benecke.com/vampires_bizmag.html



Back
Home